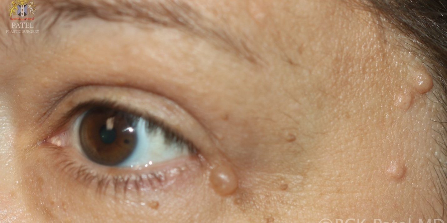
АКРОХОРДОН, НИТЕВИДНАЯ БОРОДАВКА (acrochordon). Этиология и патоген е з. Одна из разновидностей бородавок. Выраженная склонность к аутоинокуляции доказывает их инфекционное (вирусное) происхождение.
Симптомы. Акрохордон представляет собой нитевидный, пальцеобразный, сосочковидный вырост цвета кожи, длина которого может достигать 1 см. Элементы локализуются на лице — веках, скуловых областях, щеках, подбородке, реже на шее, груди, в подмышечных впадинах.
Лечение. Иногда акрохордон исчезает самопроизвольно, но из опасения распространения процесса, травмирования рекомендуется радикальное удаление элементов с помощью диатермокоагуляции волосковым или игольчатым электродом, который подводят под основание элемента. Скоагулированный элемент срезают ножницами, поверхность смазывают 5% раствором перманганата калия, жидкостью Кастеллани без фуксина. Заживление наступает на 6—9-й день. При правильной технике удаления видимые следы отсутствуют. С профилактической целью в последующем рекомендуется протирание кожи 1—2% резорциновым или салициловым спиртом.







